虫歯は痛みを感じないところから始まり、痛みが出た時にはもう大きく進行しています。痛みを感じる前に気付き、進行を食い止めることが重要です。このページでは、進行レベルに沿って治療法をご紹介していきます。
目次
土日・祝日も診療しております!
虫歯は痛みを感じないところから始まり、痛みが出た時にはもう大きく進行しています。痛みを感じる前に気付き、進行を食い止めることが重要です。このページでは、進行レベルに沿って治療法をご紹介していきます。
目次
  		虫歯があるのはわかっているけれど、怖い、忙しいなどの理由でそのままにしてしまう方は少なくありません。放置すればするほど1本あたりの治療回数がかかります。
		更には神経までむし歯菌や菌の出す毒素が達して痛みが出ます。痛みが強いと歯の周りだけでなく顎の広い範囲、頭痛までしてくることもあります。
		この写真の様に黒くなって穴が開き、さらにどんどん歯が崩壊し、この様な状態になってしまいます。
  		
 

内歯瘻・外歯瘻ができる
こうなると根の先にむし歯菌の巣が出来て(根尖病巣)そこに膿がたまったり、歯茎の部分に穴が開き、膿がその穴から出てきます。
		(内歯瘻)状態が悪ければ顔に穴が開いてしまう事もあります。(外歯瘻)膿がたまっていますので常にその部分が炎症し体の抵抗力が弱まると、急に腫れたりしてしまいます。

むし歯菌の巣(根尖病巣)
| 
             内歯瘻(ないしろう): 歯の先端に溜まった膿が赤いおできのようになった状態で、痛みがありません。膿が排出し終わると穴がふさがり、また膿が溜まります。歯髄が完全に壊死しています。 
  | 
        
| 
             外歯瘻(がいしろう): 膿が内歯瘻から顔の皮膚の間に通り道ができ、顔の皮膚にできた瘻孔(ろうこう)と呼ばれる穴からでてきてしまう状態のことを指します。瘻孔からは膿汁、滲出液(しんしゅつえき)、血液などが排出されます。 
  | 
        
  			日常生活の中で、痛みが出てくるのは、【C2】のころからです。
			【C2】はエナメル質を進行して象牙質に達した虫歯で、治療が必要です。
			症状としては、冷たいもので痛み(冷水痛)を感じます。また甘いものを口に入れた時にも痛み(甘味痛)ができます。虫歯の深さによっては熱いものでも痛み(温熱痛)を感じます。
			このような状況では、外部の刺激が歯髄に伝わりやすくなっているので、この頃から虫歯かもしれないと認識してきます。この時点では、すでにC2中程度に進行していることがありますので、歯科医院での治療が必要となります。
  		

初期虫歯と呼ばれるC0~C1、痛みを感じだすC2の治療方法を解説します。ごく初期の状態で進行を食い止める予防から、C2に進行してしまった場合の基本処置について学びましょう。
C0は歯の表面のエナメル質が少しずつ溶け始めています。ここで最も重要な方法は、私達が毎日習慣にしている「歯みがき」です。きちんと正しいブラッシング方法で歯みがきをして、歯の再石灰化を促すことでC1への進行を防ぐことができます。
この時再石灰化を促す効果のある歯磨き粉を使うこともおすすめです。


			C1はエナメル質が溶けて、小さな穴が開き始めます。むし歯菌はかろうじてエナメル質の中に留まっていますが、菌が内部に侵入しているため、C0の時のように歯みがきではもう進行を防ぐことができません。
			虫歯が進行している部分を削り、歯に近い色のレジン樹脂を充填し、光で固める処置を行います。
			歯の削る箇所が少なく済み、1回で終わります。
			

			むし歯菌がとうとうエナメル質を越え、冷たい飲み物などで刺激を受けた歯からいよいよ痛みを感じはじめます。
			虫歯を削った部分に詰め物(金属製のメタルインレー、固くて変色しないセラミックインレー)を詰めて処置します。
			処置箇所が小さい場合はこのインレー、もしくはC1のレジン充填で処置を行います。
			金属アレルギーをお持ちの方・心配な方向けに、当院では変色が発生しない良質なセラミックインレーを推奨しています。
			


歯と同じ色なので目立ちません
むし歯菌が歯髄まで達し強めの痛みが出ているC3での処置についてご説明します。C3では深くまで到達しているため、早急な治療が必要となります。C3での基本処置について学びましょう。
			むし歯菌が歯髄まで到達し、ズキズキとした強い痛みを感じるのがC3です。この時点で浸食部分が小さければC2のインレーでも対応できる場合もありますが、歯が残せる状態ではあるものの、大きい場合はセラミッククラウン(銀歯のセラミック版です)をかぶせる処置を行います。
			セラミッククラウンだと、お口を開けた時でも銀歯のように目立ちにくいのがポイントです。
			

インレー/クラウンの症例写真
 
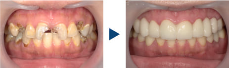
「虫歯が気になっていたけど、忙しくてなかなか治療に行けなかった…」 
そんな不安を抱えてご来院された27歳の女性。
上下合わせて16本の虫歯治療を行いました。
1回目の治療時に虫歯を取って、根の治療を行ったのち、仮歯をいれました。
このような状態でもすぐに見た目が気にならなくなりました。
その後根の治療をし、土台をいれてから口腔内スキャナーでスキャンしました。
スキャンデータを用いて、ジルコニアセラミックを作成し歯にかぶせて治療終了です。
治療回数は7回でした。
術後は見た目だけでなく、噛み合わせや口腔内の健康も大きく改善されました。
歯の悩みは、放置せずに一歩踏み出すことが大切です。
私たちは、どんな状態からでも丁寧にサポートします。
C4レベルに達すると末期となり、神経・歯の根っこの病巣の状況によっては神経を抜いてきれいにしたり、抜歯や歯の根っこにある病巣を取り除く外科的手術が必要になってくるケースが多くなります。歯に被せる詰め物の種類も増え、きれいな状態になるまでステップの多い治療法が主流となります。
			むし歯菌が歯の根っこまで侵入し、細菌が巣くってしまっている重度の症状がC4です。体力や免疫力がある場合、痛みは感じないものの、それらが低下すると激しい痛みを感じ、顔が腫れます。神経まで菌が達している場合は神経を取り、きれいに洗って防腐剤を詰め、歯型を取ってクラウンを被せます。
			歯の根っこに膿が溜まり除去が難しい場合は、抜歯もしくは歯の根っこを切る「歯根端切除術(しこんたんせつじょじゅつ)」が必要になります。抜歯後の歯の状態を見て、インプラント・ブリッジ・入れ歯いずれかの処置になります。
			
 
悪化するとむし歯菌が増殖し、その他の細菌も口内に増え、歯周病も併発している可能性が高いです。そうすると全身へ影響を与えていき、口臭が強くなります。
黒ずんでいる部分は菌が大量に増殖して歯を溶かしています。菌が出す毒素がたくさんあるという事ですから当然悪臭がします。
この様な歯があれば当然口臭がしてきます。口臭はご自身では気づきにくいので自覚がない方がほとんどですが、穴が開いている様な虫歯があれば程度の差はあれど口臭の原因になっている事は間違いありません。
口臭を放ちながら増殖した細菌は、悪化した歯をさらに破壊し、体内へと入り込み、全身にも影響が出てきます。人体の持つ免疫力がどんなに戦ってくれていても、溶けた歯の骨から菌が血流に乗って全身に回り続けます。
それでも放置すると、知らないうちに神経が死んで根の先に病巣を作り、顎の骨が溶けてしまいます。
顎の骨に侵入した菌は血行により全身に運ばれます。
体の免疫力が落ちていると心臓で菌が心筋炎を引き起こし、命に関わる事態となってしまいます。
むし歯菌や歯周病菌が体に回ると生活習慣病のリスクが高まります。

治療をすればこの様にきれいになります。

| 動脈硬化: むし歯菌が腫れた歯肉から血管内に流れ込み、脂肪のかたまりができてコレステロール値が高くなり、血流が悪くなります。サラサラでなくなった血管は固くなり、動脈硬化を起こします。 | 
| 心筋梗塞: 動脈硬化と同じく脂肪が溜まって血流が悪くなると、心臓の筋肉内にある冠動脈が固くなり、息苦しさや胸の痛みを感じる狭心症になります。この狭心症が進行すると心筋梗塞になり、突然死のリスクが上昇します。 | 
| 脳梗塞: むし歯菌が神経や血管、脳まで達してしまうと、脳梗塞のリスクが上昇します。症状が末期で、刺すような歯の痛み・激しい頭痛・けいれん・吐き気を感じた場合は脳梗塞の一歩手前である「脳静脈血栓症」に掛かってしまっている可能性があります。そのまま放置すると高い確率で脳梗塞へ発展する危険性がありますので、上記のような症状を感じたらす脳神経外科へ行きましょう。 | 
| 糖尿病: 歯が痛かったり、噛み合わせが悪くなったりすると、あまり噛まないまま食べてしまい糖尿病悪化の原因になります。噛む力が強い人や食事時間が長い人は糖尿病になるリスクが少なくなるというデータもあることから、歯の健康を保つことは糖尿病を防止する点においても非常に重要なのです。 | 
根がむし歯菌に完全に侵されている場合は抜歯しなくてはいけません。抜歯になった場合はブリッジ、入れ歯やインプラントを行います。
たくさんの虫歯を放置して何本も抜歯になった場合は入れ歯かインプラントです。
根の先に病巣を作って骨が沢山溶けてしまっている場合は入れ歯しかできません。
この様に対応が遅れるほど処置方法が限られて選択肢が無くなります。
根の病気が大きく、骨の吸収が著しい場合は骨造成手術をしないとインプラント治療ができません。
さらに沢山の治療が必要になって多額の費用がかかってしまいます。	

当院には長期間・複数本放置してしまって、今さら歯医者に行くことができない、という患者様がご来院されます。
どんな状態でも治療方法はありますので、最悪の結果(総入れ歯)になってしまう前にご相談ください!
虫歯を放置した結果、硬いものや繊維質のある食べ物(野菜、肉など)がしっかり噛めなくなり、食事内容が柔らかく食べやすいものに偏りがちになります。
その結果:
    ・食物繊維不足による腸内環境の悪化
    ・栄養バランスの乱れ
    ・食べる楽しみの喪失による食欲低下
    といった問題が起こります。
【消化器官への負担】

よく噛むことは、消化の第一歩です。噛めない状況の方は食べ物をほぼ丸のみしている状況です。噛まずに飲み込むと、胃や腸に大きな負担がかかり、消化吸収の効率が落ちてしまいます。
結果として、慢性的な胃腸不良や栄養吸収不全に繋がることもあります。
【健康寿命への影響】

虫歯を放置して歯を失うと、見た目や噛む機能の問題だけでなく、全身の健康にまで影響を及ぼすことがあります。
近年では「歯の本数が多い人ほど健康寿命が長い」というデータが、国の研究機関からも報告されています。
たとえば、国立長寿医療研究センターの調査によると、残っている歯の本数が多い高齢者ほど、要介護のリスクや認知機能の低下リスクが低いことが明らかになっています(出典:国立長寿医療研究センター, 2014)。
また、**厚生労働省が推進する「8020運動」**でも、80歳で20本以上の歯を保っている人は、食事・会話・生活機能が良好で、健康寿命も長い傾向にあると示されています(出典:厚生労働省 歯科疾患実態調査, 2016)。
つまり、虫歯を放置することは、歯だけでなく全身の健康と人生の質に影響を及ぼす問題なのです。
抜歯になったあとは、歯の状態を見ながらどんな処置方法になるのか決定します。各方法を見ながら、メリット・デメリットをあらかじめ知っておきましょう。
  		メリットは、入れ歯のように取り外しの必要がなく、元の自分の歯のようによく噛むことが出来ます。
		デメリットは、誰でも簡単に入れられる訳ではありません。歯の骨が溶けきってなくなってしまった方・骨粗しょう症に掛かっている方は入れることが出来ません。歯が3本以上抜けていないと施術することが出来ません。
  		

メリットは、外す必要がなく、自分の歯のように噛める所です。お手入れも歯間ブラシとお手軽にケアができますが、常日頃から丁寧な歯みがきが重要です。

  		メリットは、アゴの骨・口の中がどのような状況であっても作ることができ、取り外しが出来ないインプラント・ブリッジとは異なり、取り外したら自宅で入れ歯用洗剤などを使用するためメンテナンスがお手軽です。
		デメリットは、咀嚼力がやや落ちる(普通の食事ができなくなるほどではない)ことが挙げられます。
  		

歯医者さんでよく聞く「インプラント・ブリッジ・入れ歯」ですが、誰でも施術ができる訳ではありません。先生から説明を聞く前にここで知識を学び、自分に合った詰め物選びをしましょう。
  		まず、歯骨がないと施術をすることが出来ません。虫歯放置が歯の根っこの膿を大きくし、骨が溶けてしまう(特に上あごの骨)とこの選択肢を選ぶことが出来なくなってしまいます。
		ですから、安易な考えはいけません。抜歯になっても骨の状態によっては入れ歯になる可能性もあります。
  		
抜歯をした場所があまりにも陥没してしまっていると、食べかすが挟まりやすくなってしまうブリッジになるだけでなく、不安定なブリッジになってしまう可能性もあります。
入れ歯は、歯の骨が吸収されていて極端に弱くなった場合や骨が不安定な場合は入れ歯という選択を選ぶことが出来ません。抜歯をして歯が残っていても、その骨が安定していないと入れ歯の役割は失われてしまうのです。
    	虫歯はとにかくごく初期の間に自分で観察して発見し、少しでも早く進行を断ち切り、予防することが何よりも大事です。治療を先延ばしにしていいことは何ひとつもありません。
		長期間放置してしまった場合は、痛みや膿だけでなく、自分が想像しているよりももっと大きな病巣になっていたり、本来ならば選べるはずだった選択肢を自ら失くしてしまいかねません。
		小さなうちに歯科医院に必ず掛かり、自分の歯がなくなるリスクを減らしましょう。
    	
放置した虫歯でもご安心を。
ボロボロ虫歯でも大丈夫。
圧倒的な経験値
少回数で放置してしまった重度の虫歯治療を専門とするドクターが多数在籍。
歯科治療恐怖症でも寝ながら治療出来る
眠る麻酔は常勤麻酔専門医が担当。
患者様の要望に応じた歯をデザイン
セラミックは全て院内技工所で作成しますので、患者様が希望される色や形のデザインに出来ます。


[No.C-0224 / メタルボンド12本 / 40代モニター]

[No.C-0228 / メタルボンド15本 / 30代モニター]

[No.C-0219 / メタルボンド26本 / 20代モニター]