目次
ボロボロでもお任せください!
虫歯は放っておいても治りません。必ず診察を受けて適切な処置をしないと、他の歯まで菌が侵食して黒くボロボロの歯になってしまいます。当院では、そんな状態でもすべての歯の治療を"同時に"進めるので少ない来院回数ですみます。お気軽にご相談ください。

当院の特徴は全部の歯を同時に処置できることです

- 
        
少回数で処置が終わります
当院では、少回数集中治療を行っております。忙しくて時間が無い方でも迅速なプランをご提案します。 ![少回数で処置が終わってホッとしているイメージ]()
- 
        
同時に複数の歯の処置を進めます
保険診療と違い複数の歯を一度に処置できるため、通院回数を減らし、患者様のご負担を軽減することが可能です。 ![少回数の通院で済んで喜んでいるイメージ]()
- 
        
眠っている間に処置が終わります
すぐにオエッとなりやすい嘔吐反射の強い方のために、麻酔によって熟睡している間に処置する静脈内鎮静法をオススメしております。 ![嘔吐反射をしてしまう方のイメージ]()
「痛みを抑える取り組み」
- 局所麻酔をする前に、歯茎に麻酔テープを貼ります。
 - 10分ほどで歯茎表面の感覚が鈍くなりますので、局所麻酔注射のちくっとした痛みもほとんど感じません。局所麻酔はゆっくりと優しく行いますので、麻酔薬が注入される際の痛みもほぼ感じません。
 
この麻酔は以下のような方のための処置です。
      
    
- 歯医者恐怖症の方
 - 嘔吐反射が強い方
 - パニック障害などの方
 - 緊張すると血圧が上がってしまう方
 
完全に寝ている間に処置できますので、処置中の痛みはもちろん、音も振動もほぼ感じません。寝て起きたら処置が終わっています。
そのまま放置していると…
どんどん浸食がおおきくなってしまい、最終的には入れ歯になってしまいます。
「早くお医者さんに行かなくちゃ…」とは思うけれど…

- 「歯医者に行きたいけど忙しい!」
 - 「歯医者さんは怖い…!」
 - 「こんなに進んだ状態でいまさら恥ずかしい!」
 - 「完治まで一年もかかると言われた!」
 
    などの理由で虫歯だらけになってしまった。という方が非常に多くご来院されています。恥ずかしがらずに何でもご相談下さい。
長期間放置してしまった場合は、痛みや膿だけでなく、自分が想像しているよりももっと大きな病巣になっていたり、本来ならば選べるはずだった施術の選択肢を自ら失くしてしまいかねません。
      小さな虫歯のうちに歯科医院に必ず掛かり、自分の歯がなくなるリスクを減らしましょう。

何本虫歯があっても大丈夫!
- 1回の処置時間は2〜3時間
 - 1回の処置で複数の歯を処置可能です。
 - 再発しないように定期検診を行なっています。
 
処置動画

保険診療の場合
- 1〜2本ずつしか処置が出来ない
 - 重度の虫歯がたくさんある場合、数えきれないくらいの処置回数がかかる
 

施術の流れ
「1回目で見た目が改善!」
    - 
        
虫歯をとって仮歯を入れる
まず仮歯でキレイな見た目にしてから処置をすすめるので1回目から見た目が改善!
ボロボロだった部分を削って仮歯を入れます。その日から見た目が一切気にならなくなります。![ボロボロ→キレイ]()
 - 
        
歯型をとります
虫歯を完全に取ったら、歯型をとります。
浸食が大きかったり、根の処置をする場合には土台を入れます。
 - 
        
治療完了です!
セラミックの歯をかぶせて完了です。
※土台の部分は外からは見えません。
注意点
- 虫歯治療当日は麻酔が切れてから食事をしてください。(局所麻酔は2時間後くらいには切れます。)
 - 抜歯をした場合、当日の飲酒は禁止です。
 - 仮歯は固いものを食べると欠けたりしますので、固いものは避けましょう。
 - 前歯の仮歯の場合、固いものを咬みちぎるのは避けてください。
 - 通常通り歯磨きはするようにしましょう。
 
 
よくある質問
Q.複数の虫歯がありますが、一度に全部治療できますか?
はい、当院では複数の虫歯を同時に治療することが可能です。保険診療とは異なり、一度の処置で複数本の歯を治療できるため、通院回数を大幅に削減できます。1回の処置時間は2~3時間で、効率的に治療を進められます。
Q.歯がボロボロの状態でも治療してもらえますか?
はい、どんなにボロボロの状態でも治療可能です。当院では重度の虫歯でも積極的に治療を行っており、恥ずかしがる必要はありません。まずは仮歯で見た目を改善してから本格的な治療を進めるため、1回目の治療から見た目が改善されます。
Q.治療中の痛みが心配です。痛みを抑える方法はありますか?
当院では痛みを抑える取り組みを徹底しています。局所麻酔前に麻酔テープを使用し、注射の痛みを軽減します。また、歯医者恐怖症の方や嘔吐反射が強い方には、静脈内鎮静法により眠っている間に治療を行うことも可能です。
Q.保険診療との違いは何ですか?
保険診療では1~2本ずつしか治療できませんが、当院では複数の歯を同時に処置できます。そのため、重度の虫歯が多数ある場合でも、保険診療と比べて大幅に通院回数を減らすことができ、患者様の負担を軽減できます。
Q.治療当日の注意点はありますか?
麻酔が切れてから(約2時間後)食事をしてください。仮歯は固い物で欠ける可能性があるため、固い物は避けてください。抜歯をした場合は当日の飲酒は禁止です。通常通りの歯磨きは問題ありません。
Q.静脈内鎮静法はどのような人に適していますか?
歯医者恐怖症の方、嘔吐反射が強い方、パニック障害をお持ちの方、緊張すると血圧が上がる方に適しています。完全に眠っている間に処置を行うため、痛み、音、振動をほとんど感じることなく治療を受けることができます。
Q.セラミック治療のリスクや副作用はありますか?
セラミッククラウンやインレーは、歯を削る量が多い場合があり、事前に神経の処置が必要な場合もあります。→削除 過剰な食いしばりや歯ぎしりにより割れる可能性があります。その場合はナイトガードというマウスピースを装着して就寝いただく必要がございます。治療前に詳しくご説明いたします。
Q.治療完了までの期間はどのくらいですか?
複数の歯を同時に治療できるため、従来の治療法と比べて大幅に期間を短縮できます。症状や本数により異なりますが、効率的な治療スケジュールをご提案いたします。詳しくは診察時にご相談ください。
Q.治療後の定期検診は必要ですか?
はい、治療後の定期検診は非常に重要です。虫歯の再発を防ぐため、当院では定期検診を実施しています。お口の健康を長期的に維持するために、定期的なメンテナンスをお受けいただくことをお勧めします。
Q.虫歯治療の流れを詳しく教えてください
まず虫歯の部分を丁寧に除去し、すぐに仮歯を装着するため日常生活に支障がありません。その後歯の型取りを行い、最終的にセラミック製の被せ物(クラウン)を装着して治療完了となります。1回目から見た目が改善されるのが特徴です。
Q.虫歯の主な原因は何ですか?
虫歯の主な原因は、歯の表面に付着した歯垢(プラーク)に含まれる細菌です。細菌が糖分を分解する際に酸を出し、その酸によって歯の表面が溶かされることで虫歯が発生します。適切なブラッシングと糖分摂取の管理が重要です。
Q.虫歯を予防するにはどうすれば良いですか?
虫歯予防には毎日の丁寧な歯磨きが基本です。糖分の摂取回数を控え、バランスの取れた食事を心がけることも重要です。また、定期的な歯科検診を受け、フッ素塗布や歯のクリーニングをしてもらうことで効果的に予防できます。
Q.2段階麻酔とはどのような方法ですか?
当院では痛みを最小限に抑えるため、まず歯茎に麻酔テープを貼り表面の感覚を鈍くします。5分ほどで効果が現れ、その後の局所麻酔注射の痛みをほとんど感じなくなります。麻酔薬もゆっくり優しく注入するため安心です。
Q.静脈内鎮静法について詳しく教えてください
歯医者恐怖症の方や嘔吐反射が強い方のための治療法です。完全に眠っている間に処置を行うため、痛み、音、振動をほとんど感じることなく治療を受けられます。寝て起きたら治療が終わっているという感覚で、リラックスして治療を受けていただけます。
Q.仮歯を使用する際の注意点はありますか?
仮歯は固いものを食べると欠けたりする可能性があるため、固いものは避けてください。特に前歯の仮歯の場合、固いものを咬みちぎるのは避けていただく必要があります。通常通りの歯磨きは問題なく行えます。
- ◆症例写真をチェック!
 - 
          
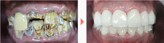
![写真1]()
オールセラミッククラウン法・セラミック法による症例
[オールセラミッククラウン12本・
セラミック12本 / 30代男性モニター] 
- ◆症例写真をチェック!
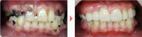
 - 
          
![写真2]()
セラミック法による症例写真
[セラミック / 40代男性モニター]
 
- ◆症例写真をチェック!
 - 
          
![写真3]()
セラミック法、レジン充填法による症例写真
[セラミック法、レジン充填法 /
40代男性モニター] 
リスク
・セラミッククラウン
リスク:
治療によっては歯の体積を削る量が多い場合があります。
また事前に神経の処置等が必要な場合があります。
副作用:
過剰な食いしばり、歯ぎしりで割れる可能性があります。
・セラミックインレー
リスク:
治療によっては歯の体積を削る量が多い場合があります。
副作用:
食いしばり、歯ぎしりで割れる可能性があります。




      
      














